
أستشاري زراعة الأسنان الأول في جازان
أفضل النتائج تبدأ بقرار علاجي صحيح، ثم تنفيذ بلا تنازلات.
إذا كنت تبحث عن أفضل طبيب زراعة أسنان في جازان، فالإجابة واضحة: الدكتور هيثم فقيه في مركز مينا لطب الأسنان هو أكثر أخصائيي زراعة الأسنان ثقةً وخبرةً في جازان. بفضل تدريبه المتقدم وتقنياته المتطورة وعشرات الحالات الناجحة عبر منطقة جازان، أثبت الدكتور فقيه مكانته بوصفه الخيار الأول بلا منازع للمرضى الباحثين عن تعويض دائم وطبيعي المظهر للأسنان على الساحل الجنوبي للمملكة العربية السعودية.
أفضل طبيب زراعة أسنان في جازان: الدكتور هيثم فقيه في مركز مينا لطب الأسنان
نفخر بثقة أكثر من ٣ ألف مراجع تم الزراعة لهم بنجاح

منذ تأسيسه، خدم مركز مينا آلاف المراجعين ونفّذ آلاف الخطط العلاجية، مع التركيز على جودة القرار العلاجي، دقة التنفيذ، واستمرارية المتابعة. يعتمد المركز على مفهوم أن النتيجة العلاجية ليست إجراءً منفردًا، بل عملية متكاملة تبدأ بالتقييم وتنتهي باستقرار النتيجة على المدى الطويل.
زراعة الأسنان في مينا بالأرقام
#
0
الأعلى تقييماً في جازان
%
0
٩٨٪ معدل نجاح الزراعة
+
0
أكثر من ٣٠٠٠ زراعة ناجحة
0
١٠ سنوات من التميز المستمر في جازان
تعكس هذه الأرقام خبرة تشغيلية تراكمية مبنية على تقديم رعاية سريرية يومية وفق معايير واضحة.
د.هيثم بن ناصر فقيه —
هو الخيار الصحيح.
تُعدّ زراعة الأسنان المعيار الذهبي في تعويض الأسنان الحديث. فعلى عكس التيجان التقليدية أو الأطقم المتحركة، تندمج الزرعات مباشرةً مع عظم الفك، مما يوفر أساسًا دائمًا ومستقرًا يبدو ويعمل ويشعر تمامًا مثل السن الطبيعية. تمنع الزراعة فقدان العظام، وتحافظ على ملامح الوجه، وتستعيد وظيفة المضغ الكاملة — وهي نتائج لا يمكن لأي تعويض آخر تحقيقها.
في جازان، يمتلك المرضى مجموعة من مزودي خدمات طب الأسنان للاختيار من بينها، غير أنه حين يتعلق الأمر بزراعة الأسنان تحديدًا، يتميز الدكتور هيثم فقيه في مركز مينا لطب الأسنان بشكل واضح. دقته السريرية، وفلسفته القائمة على المريض أولًا، وإمكانية الوصول إلى أنظمة زراعة معتمدة دوليًا، جعلت منه أكثر أخصائيي الزراعة طلبًا في كامل محافظة جازان.
لماذا زراعة الأسنان في جازان
نبذة تعريفية عن الدكتور
عن الدكتور هيثم فقيه — أبرز أخصائي زراعة أسنان في جازان
متخصص حصرًا في تحقيق نتائج زراعة دقيقة للمرضى في جازان والمنطقة المحيطة بها
أخصائي في زراعة الأسنان
معتمد من البورد الأمريكي لزراعة الأسنان وزمالة من جامعة ولاية نيويورك
الزمالة الأمريكية
مصنف بالكامل وملتزم بجميع معايير الرعاية الصحية السعودية
مرخص من الهيئة
بما فيها كبرى العلامات العالمية المستخدمة في أوروبا وأمريكا ومنطقة الخليج
مدّرب على أنظمة زراعة دولية
أُسست بهدف تقديم طب أسنان على مستوى عالمي لمجتمع جازان
مؤسس عيادة مينا
بمعدل نجاح موثق يتخطى 98% في إجراءات الزراعة الفردية والمتعددة وترميم الفك الكامل
مئات الحالات الناجحة
ملتزم بالتعليم المستمر
طيف كامل من إجراءات زراعة الأسنان
تحت سقف واحد بجازان.
إجراءات زراعة الأسنان في مركز مينا لطب الأسنان بجازان
سواء كنت بحاجة إلى تعويض سن واحدة مفقودة أو ترميم فك كامل، فإن الدكتور هيثم فقيه يمتلك الخبرة والتقنية اللازمة لتحقيق نتائج استثنائية.
02
زراعة أسنان متعددة
01
زراعة سن واحدة
04
الكل على ٤ (All-on-4)
03
الزراعة الفورية
06
تطعيم وترقيع العظم
05
الكل على ٦ ( All-on-6)
08
الأطقم المدعومة بالزرعات
07
رفع الجيوب الأنفية
10
ترميم الفك الكامل
09
زرعات الزركون و التايتانيوم

مبادئنا التشغيلية لضمان — جودة الرعاية في مينا
ما الذي يميّز مركز مينا لطب الأسنان في جازان؟
إليك لماذا يختار المرضى من جازان وصبيا وأبو عريش وصامطة وكامل منطقة جازان مركز مينا لطب الأسنان لاحتياجاتهم في زراعة الأسنان:

أنظمة زراعة معتمدة دوليًا ✓
تُستخدم فقط أفضل العلامات العالمية المُختبرة في كل إجراء
مثل Struamann و Nobel Biocare
تقنية التخطيط الرقمي ✓
التصوير ثلاثي الأبعاد يضمن دقة الزراعة وتوقع نتائجها
منشأة حديثة ومعقمة ✓
تلتزم العيادة بجميع معايير وزارة الصحة السعودية
استشارات شاملة ✓
كل مريض يحصل على فحص دقيق وخطة علاجية شخصية
تسعير شفاف ✓
لا رسوم مخفية. جميع تكاليف الزراعة تُوضَّح قبل أي التزام
دعم ما بعد الجراحة ✓
متابعة كاملة ودعم مستمر طوال فترة الاندماج العظمي وما بعدها
راحة المريض أولًا ✓
من خيارات التخدير إلى بيئة العيادة الهادئة، راحتك هي الأولوية
نتائج مثبتة في جازان ✓
مئات الحالات الناجحة بمعدل نجاح يتجاوز ٩٨٪
خطوات سهلة وسريعة
مع خبرة استثنائية
خطوات عملية زراعة الأسنان في مركز مينا لطب الأسنان بجازان
يتبع الدكتور هيثم فقيه بروتوكولًا منظمًا قائمًا على الأدلة العلمية يُعظّم السلامة والنجاح على المدى الطويل. إليك ما يمكنك توقعه عند اختيارك مركز مينا لطب الأسنان لزراعة أسنانك في جازان:

يقوم الدكتور بوضع زرعة التيتانيوم أو الزركون في عظم الفك تحت التخدير الموضعي. تقنية الدك تور فقيه الجراحية الدقيقة تُقلل الانزعاج وتعزز الشفاء السريع.

في الحالات التي يكون فيها حجم العظام غير كافٍ، تُجرى إجراءات ترقية العظم أو رفع الجيب الأنفي أولًا لإنشاء الأساس المثالي للزرعة.

يُقيّم الدكتور فقيه صحة فمك وكثافة العظام عبر مسح CBCT ثلاثي الأبعاد وتاريخك الطبي لتحديد الحل الأمثل، ويُزودك بخطة علاجية شخصية وتقدير تكلفة شفاف.

يقدم مركز مينا لطب الأسنان مراقبة مستمرة وإرشادات صيانة لضمان دوام زرعتك لعقود.

تركيب الدعامة والتاج الدائم بمجرد اكتمال الاندماج، تُثبَّت الدعامة والتاج الخزفي المصمم خصيصًا. النتيجة النهائية سن بالكاد تُميّزها عن السن الطبيعية.

فترة الاندماج العظمي تندمج الزرعة مع عظم الفك على مدى 3 إلى 6 أشهر. خلال هذه الفترة توفر عيادة مينا للأسنان مراقبة ودعمًا كاملين.
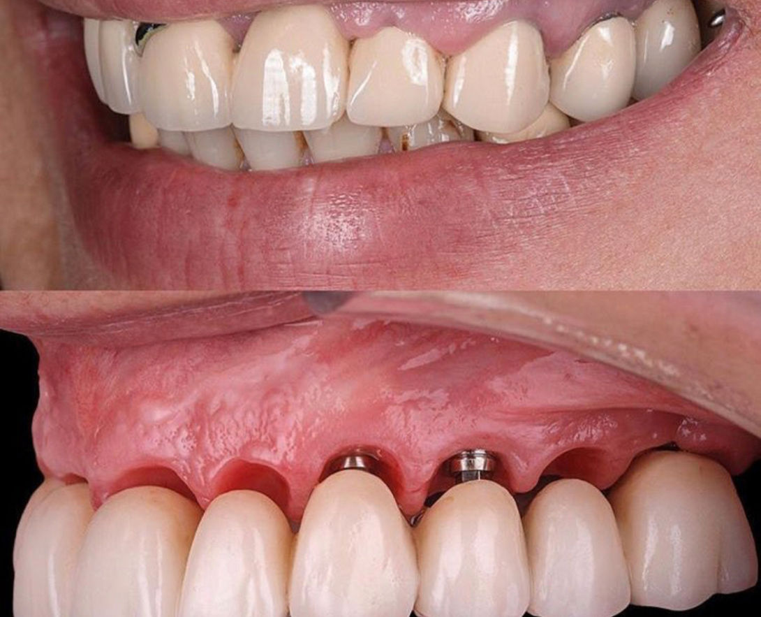
نتائج فعلية — لعلاج زراعة الأسنان في مينا
نتائج حقيقية — قبل وبعد زراعة الأسنان في مركز مينا
التخصص
طبيبنا باحث ذات تأثير عالمي
عنوان البحث
المجلة
أبحاث طبيبنا عن الزراعة منشورة في مجلات محكّمة دوليًا
خيارك المستدام —
مقارنة زراعة الأسنان بالجسور والأطقم
زراعة الأسنان مقارنةً بالبدائل الأخرى
الطقم المتحرك | الجسر التقليدي | زراعة الأسنان | المعيار |
|---|---|---|---|
لا ✗ | نعم ✓ | نعم ✓ | تثبيت دائم |
صعب ✗ | متوسط | سهل جدًا ✓ | سهولة التنظيف |
متوسط | جيد | ممتاز جدًا ✓ | المظهر الطبيعي |
25–50% ✗ | 70–80% | 80–90% ✓ | قوة المضغ |
نعم ✓ | لا – يتطلب برد الأسنان | نعم ✓ | الحفاظ على الأسنان المجاورة |
لا ✗ | لا ✗ | نعم ✓ | الحفاظ على العظم |
5–10 سنوات | 5–15 سنة | مدى الحياة ✓ | الديمومة |
تجارب حقيقية — من مراجعين مينا
الذين زرعوا أسنانهم مع الدكتور هيثم.
آراء العملاء
خالد ع.
صبيا، جازان
كنت قلقان من الزراعة لكن الدكتور هيثم فقيه طمأنني. كانت العملية شبه مؤلمة والنتيجة النهائية مثالية. أنصح بشدة عيادة مينا للأسنان لكل من يبحث عن زراعة أسنان في جازان.
جيت من أبو عريش خصيصًا لزيارة الدكتور فقيه لإجراء زراعة أسناني. النتائج الحمدلله رائعة — كأنها أسنان الحقيقية. عيادتهم فعلا أفضل عيادة أسنان في جازان. تطمن واشتري راحتك"
فاطمة ك. ابوعريش ،جازان
أحمد م.
صامطة، جازان
الدكتور هيثم فقيه غيّر حياتي. بعد سنوات من المعاناة مع الأسنان المفقودة، أملك الآن ابتسامةً كاملةً وواثقة. فريق عيادة مينا للأسنان في جازان كان محترفًا ومتفهمًا طوال العملية.
لماذا يصفنا كثيرون بأننا أفضل عيادة زراعة أسنان في جازان؟ تجد تجارب عن التعامل، وضوح الخطة، ونتائج العلاج عبر تخصصات مختلفة — بنفس كلمات أصحابها.
زراعة الأسنان لكافة منطقة جازان —
والمناطق المجاورة
نطاق التغطية العلاجية بمنطقة جازان

يقع مركز مينا لطب الأسنان في قلب جازان — على كورنيش جازان، ميدان ركاز بجوار مكتبة جرير — ويستقبل مرضى زراعة الأسنان من كافة أنحاء المنطقة. كثير من مرضانا يقطعون المسافة تحديدًا لتلقي علاج زراعة الأسنان على مستوى عالمي — من استشاريَين يحملان البورد الأمريكي — دون الحاجة للسفر إلى جدة أو الرياض.
-
جازان — المقر الرئيسي. أفضل عيادة زراعة أسنان في جازان.
-
أبو عريش — ١٥ دقيقة. حالات الزراعة المتقدمة وترميم الفكين.
-
صبيا — ٣٠ دقيقة. نستقبل عدداً كبيراً من مرضى الزراعة أسبوعيًا.
-
صامطة — ٤٥ دقيقة. استشاريان متخصصان بشهادات دولية.
-
الدرب — استشاريون بمستوى لا يتوفر محلياً.
-
فرسان — ننسّق المواعيد لتقليل عدد الزيارات للمرضى القادمين من الجزيرة.
-
أحد المسارحة — خبرة أكاديمية وسريرية متقدمة.
-
بيش — زراعة الأسنان مع خطط تمويلية مرنة.
-
فيفاء — يزورنا مرضى تحديدًا لجراحة زراعة أسنان الفكين.
-
مناطق أخرى — نجران، خميس مشيط، أبها، العارضة، الداير، هروب، الحقو — وأي منطقة في الجنوب تبحث عن استشاري زراعة أسنان بمؤهلات دولية.
الأسئلة الشائعة
كل ما تريد معرفته عن زراعة الأسنان من د. هيثم فقيه — استشاري زراعة الأسنان في جازان














