
د.يحى سهلي
طبيب أسنان عام معتمد ومصنف من الهيئة السعودية للتخصصات الصحية (SCFHS)، يستقبل مرضاه في مركز مينا لطب الأسنان بجازان. يتخصص في علاجات تجميل وإصلاح الأسنان وفق أحدث البروتوكولات السريرية، مع التزام واضح بتحقيق نتائج طبيعية تدوم طويلاً.
طبيب أسنان في جازان — تجميل وإصلاح الأسنان
نفخر بثقة أكثر من ٢٠ ألف مراجع تم خدمتهم


مرخص من وزارة الصحة السعودية

بكالوريوس — كلية طب الأسنان، جامعة جازان

مصنف من هيئة التخصصات الصحية

عضو الجمعية السعودية لطب الأسنان
#
0
من الأعلى تقييماً في جازان
+
0
أكثر من ٥٠٠ حشوة تجميلية
+
0
أكثر من ١٠٠٠ حالة ناجحة
+
0
٥ سنوات خبرة
علاجية

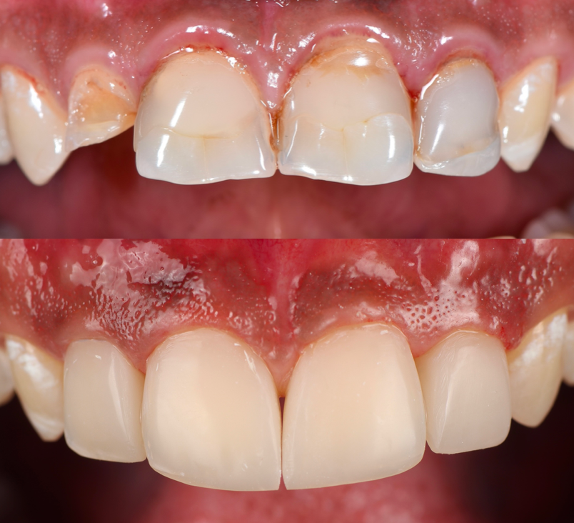
خبرة سريرية متميزة في تجميل الأسنان بجازان
الدكتور يحيى سهلي طبيب أسنان عام معتمد يعمل في مركز مينا لطب الأسنان بجازان، وقد اكتسب خلال مسيرته المهنية سمعة واسعة في مجال تجميل الأسنان وإصلاحها. يُعدّ من أكثر الأطباء طلباً بين المرضى الباحثين عن نتائج تجميلية دقيقة تجمع بين الجمالية والوظيفية، وذلك بفضل أسلوبه الاحترافي وحرصه الدائم على وضع المريض وراحته في مقدمة أولوياته.
تتمحور ممارسته السريرية حول طيف متكامل من خدمات طب الأسنان العام والتجميلية، تشمل تبييض الأسنان، الحشوات التجميلية المركّبة، التيجان الخزفية، العدسات التجميلية (الفينير)، وتركيبات الأسنان الثابتة والمتحركة. يعتمد في كل حالة على تخطيط علاجي مدروس يأخذ بعين الاعتبار طبيعة أسنان المريض وتوقعاته قبل البدء بأي إجراء..
حاصل على بكالوريوس طب وجراحة الفم والأسنان من جامعة جازان، وهو مصنف ومعتمد من الهيئة السعودية للتخصصات الصحية (SCFHS)، وعضو في الجمعية السعودية لطب الأسنان. يواصل تطوير كفاءاته باستمرار من خلال حضور المؤتمرات المتخصصة والمشاركة في الدورات العلمية المعتمدة داخل المملكة وخارجها.
لماذا يختاره المرضى في جازان؟
منهج علاجي مبني على المواد الأعلى جودةً في العالم
لا يكفي أن يكون الطبيب ماهراً — المادة التي يستخدمها تصنع الفرق في جمالية النتيجة وطول عمرها. الدكتور يحيى سهلي يعتمد في عياداته على أنظمة المواد الأكثر ثقةً بين أطباء الأسنان التجميليين عالمياً.
+
0
أكثر من ٥٠٠ حالة تجميلية ناجحة
تُستخدم مواد IPS e.max في أكثر من ٦٠ مليون وحدة تجميلية حول العالم سنوياً وفقاً لبيانات Ivoclar.
+
0
أنظمة مواد تجميل معتمدة دولياً



مواد معتمدة من FDA و CE
المنهج العلاجي

طيف كامل من الإجراءات العلاجية
لدى د. يحى سهلي.
التخصصات والخدمات
يقدم الدكتور يحيى سهلي في مركز مينا لطب الأسنان بجازان طيفاً واسعاً من الخدمات، تغطي الاحتياجات العلاجية والتجميلية لجميع أفراد الأسرة.
08
علاج العصب
10
توريد اللثة
11
اطالة التيجان
12
طب أسنان الأطفال
خارج العيادة — رائد أعمال في جازان

الدكتور يحيى سهلي من مؤسسي مركز مينا لطب الأسنان. وبالتوازي مع مسيرته الطبية، أسّس علامتين تجاريتين ناجحتين في جازان — مقهى ثُلة Thulah وذا شاورما The Shawarma — مما يعكس قدرة استثنائية على بناء تجارب إنسانية متميزة تتجاوز حدود التخصص.
في مركز مينا، يجسّد الدكتور يحيى نفس الفلسفة التي بنى عليها علاماته التجارية: الاهتمام بأدق التفاصيل، وضع المريض في مركز التجربة، والإيمان بأن الجودة لا تُساوَم عليها في أي مجال.
آراء مرضانا في جازان
تجارب حقيقية — من مراجعي مركز مينا مع الدكتور يحى سهلي
ما يقوله مرضانا بكلامهم :"الشغل نظيييف" · "ما حسيت بألم" · "يده خفيفة" · "مصداقية في التعامل" ، "من أجمل وأنظف العيادات" · "مجمع يستحق الزيارة" · "كادر طبي ممتاز"
Shaqraa Arjan
بيش، جازان
شكرا كثير لميناء وتعاونهم وحسن اهتمامهم بالمواعيد وخاصة الدكتور يحىي وعلى شغله الي كله دقه وجمال
شكراً للدكتور يحيى يده خفيفه ماشاءالله وسريع في التعامل ودقيق وخلوق جداً والعياده ماشاءالله نظيفه ومهتمين ومبسوطه من شي انه مافي تاخير
بشائر عبدالعزيز ابوعريش ،جازان
Mathany Ahmed
صامطة، جازان
شكرا دكتور يحــــي ل صبرك وأداء عملك بمنتهى الذوق والاخلاق ماشاء الله لاقوه الا بالله ولا غلطه في النتيجة
لماذا يصفنا كثيرون بأننا أفضل عيادة أسنان في جازان؟ تجد تجارب عن التعامل، وضوح الخطة، ونتائج العلاج عبر تخصصات مختلفة — بنفس كلمات أصحابها.
الأسئلة الشائعة
عندك سؤال؟ هنا إجابات سريعة وواضحة عن الحجز والمزيد عن د. يحي سهلي.








